生活習慣病
(高血圧症、糖尿病、脂質異常症)
不規則な生活、ストレス、運動不足、飲酒・喫煙…
食生活の欧米化や都市型生活環境の変化などにより、動脈硬化の進行や脳卒中、心筋梗塞の若年発症例が増加しています。
自覚症状では診断しにくい生活習慣病ですが、以下にあげる症状は重大な病気の可能性があります。
心当たりがある方は早めに医師の診察を受けましょう。
こんな症状があったら注意

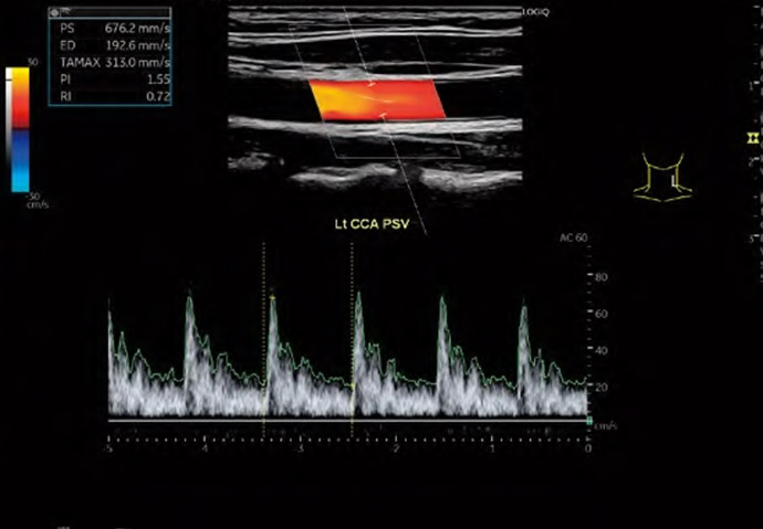
高血圧症、糖尿病、脂質異常症などを放置すると全身の血管に動脈硬化が起こります。
当院では頸動脈エコーを行い、動脈硬化の程度やプラーク*のチェックを行います。
*『プラーク』とは、血管壁が限局性に盛り上がってできた隆起性病変で、脳梗塞などのリスク因子と考えられます。
あなたの肺年齢は?

同世代と比較してあなたの呼吸機能はどの程度ですか?
肺の健康意識を高め、
呼吸器疾患の予防・早期発見を!
COPD(慢性閉塞性肺疾患)という病気をご存知ですか?
COPDは空気の通り道である気道(気管支)や、酸素の交換を行う肺(肺胞)などに障害が生じる病気であり、そのほとんどは喫煙によるものと考えられています。進行すると酸素ボンベなしでは生活ができなくなる場合もあります。
当院ではスパイロメーターを用いて、いつでも肺年齢を調べることができます。
禁煙外来
健康のために禁煙が良いことは分かっているけど禁煙するきっかけがなかった方、禁煙をトライしたけど成功しなかった方・・・当院では保険診療で禁煙をサポートいたします。
内服薬(チャンピックス)を用いて、効率良い禁煙治療が可能となりました。まずはご相談ください。